Conditions
Clavicle Fractures: Causes, Symptoms, and Treatment Options

A clavicle fracture, also known as a collarbone fracture, is a common injury, especially among athletes or anyone who experiences a fall or direct impact to the shoulder area. The clavicle is an essential bone that connects the arm to the body and plays a vital role in shoulder movement and strength.
General Anatomy of the Clavicle and Collarbone
The clavicle, or collarbone, is a long, thin bone located at the top of your chest. It connects the sternum (breastbone) at the front of the body to the scapula (shoulder blade) at the back. The clavicle serves several important functions:
-
It supports the shoulder: The clavicle helps hold the shoulder away from the chest, allowing the arm to move freely.
-
It acts as a shock absorber: during falls or impacts, the clavicle helps absorb force, thereby preventing damage to other parts of the shoulder or neck.
-
It protects vital structures: The clavicle is close to important blood vessels and nerves, so a fracture can sometimes affect these structures.
The clavicle is divided into three parts:
-
Medial third: The part closest to the sternum.
-
Middle third: The central part of the clavicle, which is the most common site for fractures.
-
Lateral third: The part closest to the shoulder blade.

Causes of Clavicle Fractures
Clavicle fractures most often occur due to falls, direct blows, or accidents. Some common causes include:
-
Falling onto an outstretched hand (FOOSH): When you fall and stretch your arm out to catch yourself, the force can travel up your arm to the shoulder, breaking the clavicle.
-
Sports Injuries: Contact sports like football, rugby, or falling off a bicycle often lead to direct impacts or falls that result in clavicle fractures.
-
Car Accidents: The impact from a car crash can cause a direct blow to the shoulder.
-
Birth Injuries: Sometimes, babies can suffer clavicle fractures during delivery, especially in difficult or assisted births.
Symptoms of a Clavicle Fracture
If you break your clavicle, you may experience the following symptoms:
-
Pain: Pain is usually immediate and sharp, especially when you move your arm or touch the area.
-
Swelling: The area around the clavicle may swell, and there might be bruising.
-
Deformity: In more severe fractures, the clavicle may appear to be out of place, and you might see a bump or step in the bone.
-
Limited Movement: Moving your arm or lifting it can be painful and difficult. You may feel weak and unable to move your shoulder as normal.
-
Tenderness: The area over the fracture may be very tender to the touch, and it may be painful when you try to lie on the injured side.
Investigations for Clavicle Fractures
When you visit a doctor with a suspected clavicle fracture, they will perform a series of tests to confirm the diagnosis and determine the best course of treatment.
-
Physical Examination:
-
The doctor will check for swelling, tenderness, and deformity in the shoulder area.
-
They may ask you to move your arm to assess the range of motion and see how much pain you experience.
-
-
X-rays:
-
An X-ray is the primary method used to diagnose a clavicle fracture. It provides a clear image of the bone and helps the doctor determine if the fracture is displaced (misaligned) or stable.
-

X-ray showing a clavicle fracture with several fracture fragments and the fracture edge tenting on the overlying skin.
-
CT Scan (in some cases):
-
If the fracture is complex or unclear from the X-ray, the doctor may recommend a CT scan. This provides more detailed images of the bones and any surrounding tissues.
-
Treatment Options for Clavicle Fractures
Treatment for a clavicle fracture depends on the severity of the break. There are two main types of fractures: non-displaced (where the bone stays aligned) and displaced (where the bone is out of place). The approach to treatment varies based on the type of fracture.
1. Non-Surgical Treatment (For Simple, Non-Displaced Fractures)
-
Sling or Shoulder Immobiliser: In most cases, a simple clavicle fracture can be treated by wearing a sling or shoulder immobiliser for 4 to 6 weeks. This helps to keep the shoulder in place while the bone heals.
-
Ice and Rest: Applying ice to the area helps reduce pain and swelling. Resting the arm and avoiding heavy lifting or moving the shoulder too much is crucial during the healing process.
-
Pain Relief: Pain medications like diclofenac or paracetamol can help manage pain and inflammation.
2. Surgical Treatment (For Severe or Displaced Fractures)
-
Surgery may be needed if the fracture is displaced, meaning the bone ends are out of alignment, or if there are multiple fragments. Urgent surgery is required if the fracture edges are tenting or putting pressure on the skin, or if there is an open wound over the fracture site. The goal of surgery is to realign the bone and maintain its position while it heals. In cases of open fractures, it is important to debride the wound to prevent infection.
-
Internal Fixation: This involves using screws, plates, or pins to hold the bones together. The surgeon will make a small incision and carefully position the hardware to stabilise the bone.

-
Post-Surgery Care: After surgery, you may need to wear a sling for several weeks, and the doctor may schedule follow-up visits to monitor the healing process.
Rehabilitation and Recovery for Clavicle Fractures
Rehabilitation is key to recovering from a clavicle fracture. After the initial healing period, it’s important to regain full strength and mobility in the shoulder.
1. Physical Therapy:
-
Range of Motion Exercises: Early on, the therapist may guide you through gentle exercises to help restore movement in the shoulder joint. This might involve slowly lifting the arm and moving it in circles to regain flexibility.
-
Strengthening Exercises: Once the fracture is healed, exercises to strengthen the shoulder and arm muscles are important. This helps prevent weakness and promotes full recovery.
-
Shoulder Stability: Strengthening the muscles around the shoulder is crucial for preventing future injuries.
2. Gradual Return to Activity:
-
It’s essential to avoid putting too much stress on the shoulder too soon. Start with light activities and gradually increase intensity as your shoulder becomes stronger.
-
If you play sports or are involved in activities that could stress the shoulder, follow the doctor’s advice about when it’s safe to return to these activities.
Recovery Time
-
For a non-displaced clavicle fracture, recovery usually takes about 6 to 8 weeks.
-
For a displaced fracture that requires surgery, recovery might take longer, potentially 3 to 6 months, depending on the severity of the injury and the effectiveness of rehabilitation.

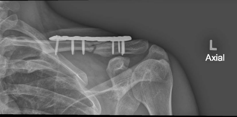
Good healing of a fracture after surgical fixation with a plate and screws.
Prevention Tips for Clavicle Fractures
While you can’t always prevent an accident, here are some ways to reduce the risk of a clavicle fracture:
-
Wear protective gear: In sports, wear shoulder pads or other protective equipment to shield the clavicle from impact.
-
Strengthen the shoulder: Regular exercises to build muscle strength and stability can help protect the shoulder.
-
Fall prevention: Be cautious and take steps to avoid falls, such as wearing appropriate footwear and maintaining balance while engaging in physical activities.
Conclusion
A clavicle fracture is a painful but treatable injury. With the right care, either through a sling for non-displaced fractures or surgery for more severe injuries, most people recover fully and return to their regular activities. Following the recommended rehabilitation plan is crucial to ensure a complete recovery and prevent future problems with the shoulder. If you suspect a clavicle fracture, seeking medical attention early will help guide you toward the best treatment and recovery plan.